Endodoncia: Excelencia en Cuidado Dental

El "dolor de muela" intenso es una de las peores experiencias; generalmente es causado por una caries profunda o un golpe que ha infectado el nervio (pulpa) del diente.

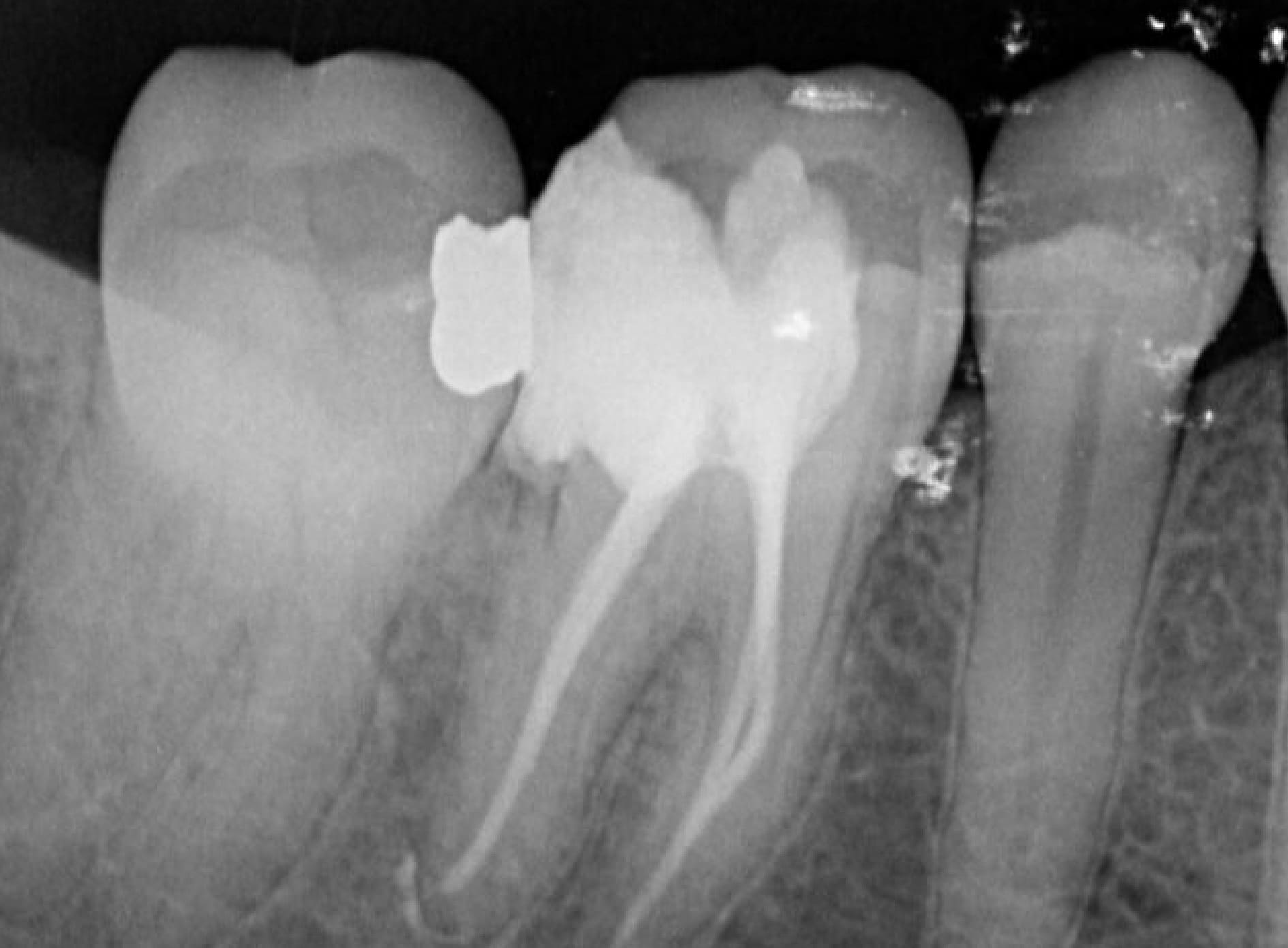
Una endodoncia es un procedimiento de alta precisión para salvar un diente que de otra manera tendría que ser extraído. En GM Dent, usamos tecnología moderna para garantizar un proceso cómodo y seguro.

  • Eliminación radical del dolor
  • Conserva tu diente natural
  • Detiene la infección.
Tratamiento de Endodoncia

¿Tienes un dolor de muela intenso?

No esperes más. Agenda una evaluación urgente.